The urinary bladder is an organ which deposits the urine created by the kidneys and provides the urination. Bladder cancer is the second among genitourinary cancers in frequency. Average occurrence age is 65. Men have the bladder cancer 2 to 3 times more than women.
Cause is not definite in general. However, causes which are held responsible are SMOKING, long working period in PAINTING INDUSTRY (orthoaminophemol).
When it is diagnosed, 85% of the cancers are limited to the urinary bladder and 15% of them have lymph nodule involvement or far metastasis.
98% of bladder cancers are epithelial and most of them are transitional cell carcinoma (TCC). 90% of all bladder cancers are transitional cell carcinoma. These lesions present a papillary characteristics in general and occupy a place within the bladder. Some of TCCs become apparent as Carcinoma In Situ (CIS). Presence of CIS solely or with papillary tumors generally indicate a bad prognosis. CIS cells are more aggressive than papillary cells and incline to repeat. Invasion, recurrence and progression of the tumor is closely associated with the tumor grade.
10 years survival is 98% in low grade tumors while it is 35% in high grade tumors.
SYMPTOMS
Bloody urine (hematuria) is the first cancer observed in 85 to 90% of the patients with bladder cancer. Hematuria is generally painless; it may be visible (macroscopic), microscopic, intermittent or continuous. Some patients may have cystitis symptoms such as frequent urination, urinary incontinence or burning sense while urinating.
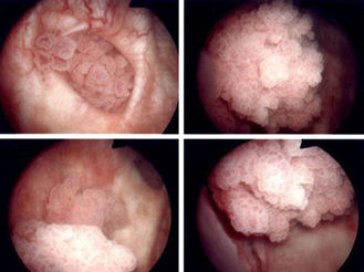
DIAGNOSIS
Intravenous urography (IVP) is a test which is frequently used to identify the hematuria. In IVP, the papillamatous formation extending into the bladder shows itself as a filling defect. Abdominal ultrasonography (US), Computed tomography (CT) and Magnetic Resonance (MRI) tests also show the occupying lesion within the bladder.

Urine cytology bases on the principle of researching the abnormal cells within the urine, however it is open-ended. Its sensitivity on low grade cancers is very poor.
Tumor Markers: These tests are both used for the diagnosis and follow-up. However, their specificity on diagnosis is not 100% safe. Some tests such as BTA stat – BTA TRAK – NMP 22 are used with different rates in the market today.
Although many imaging techniques are used for the diagnosis, FINAL DIAGNOSIS may be determined by cystoscopy and biopsy. Another advantage of the cystoscopy is that COMPLETE STATGING TRANSURETHRAL RESECTION (complete removal of the tumor by an endoscopic closed system) procedure which is the first step of the treatment may be applied within the same session.
The following diagram shows the staging of bladder tumors starting from the inner layer and invading into the external layers.

TREATMENT
SUPERFICIAL (not deepened on the bladder wall) BLADDER CANCER
Here, it is meant that dissemination of the tumor has been superficial after the first operation and tumor has not invaded into the muscle tissue. (stage 0 – 1)

The treatment method on early period of the disease is complete removal of the tumor with closed (endoscopic) techniques. TRANSURETHRAL BLADDER TUMOR RESECTION (TUR BT)
The actual issue in this case is relapse of the cancer. Unfortunately, bladder cancer is one of the cancers which have the highest relapse ratio and the physician should control her/his patients frequently to determine the relapse as soon as possible.
Recommended control endoscopy periods are quarterly within the first 2 years; every 6 months for the next 2 years and once a year after then. No relapse is based on this follow-up period. Follow-up periods start again by each relapse.
Just after the first operation on superficial bladder tumors; if the tumor is bigger than 2 cm, more than one, located badly, CIS is present or could not be cleared completely according to the experience of the urologist and/or possibility of relapse seems high, the bladder is irrigated once a week for a period between 6 and 8 weeks. The purpose here is both to kill remaining tumor cells in the operation and to minimize the relapse of the tumor. The agents which are used commonly are BCG (vaccine for tuberculosis), Mitomycin- C, Epirubicin and Thiopeta. There are some side effects depending on use of each agent and the physician is expected to decide on which agent will be used according to the condition of the patient and tumor. Anesthesia or hospitalization are not necessary for these procedures.
INVASIVE (deepened on the bladder wall) BLADDER CANCER (stage 2-3-4)
TUR BT operation which is applied first for these patients does not provide a definite treatment and additional treatment should be arranged.
Those that may be done for the treatment of Invasive Bladder Cancers are as follows:
- Continue on TUR BT only.
- RADIOTHERAPY : Radiation therapy from out of the body. It may be applied before or after the operation.
- RADICAL CYSTECTOMY + Urinary diversion : The purpose is to remove regional lymph glands and the bladder as they are. In the second stage, ureters coming from the kidneys are implanted into a new bladder created from intestine by various methods, then this new bladder is connected into the skin directly (conduit) or old urinary tract (urethra) or anus (continent diversion). This operation is performed with some differences in men and women. Lymph nodules, bladder and prostate are removed as they are in men. Sometimes even urethra is removed. In women, lymph nodules, bladder, ovaries, uterus and upper section of the vagina are removed completely.
- PARTIAL CYSTECTOMY : It is not a common technique and may be performed for the cases where the bladder should be protected or for single tumors located very specifically.
CHEMOTHERAPY
Chemical agents may be applied within the period before TUR BT or radical cystectomy (Neoadjuvant chemotherapy) or after the operation (Adjuvant chemotherapy). Some examples of most common agents are; methotrexate – vinblastine – doxorubicine – cisplatin – gencytabine and carboplatinum.